There are many reasons to replace your metal amalgam fillings with tooth-colored fillings. They’re unattractive. They’re toxic. And they can make your teeth sensitive.
Metal Amalgam Fillings Conduct Heat
Metal amalgam filling conduct heat better than your natural tooth enamel. This means that when you drink hot or cold liquids, the temperature change has a shortcut deep into your tooth. Tooth-colored fillings are made of ceramics and composites, which are better insulators than the metal amalgam, and can reduce sensitivity to hot or cold liquids.

Metal Amalgam Fillings Expand and Contract Quickly
Like other metals, the volume of metal amalgam fillings is highly temperature-sensitive. This means that when hot food or liquid contacts a metal amalgam filling, the filling will expand, and it will expand more rapidly than the tooth material surrounding it. When this happens, the filling will put pressure on your tooth nerve, causing pain.The opposite happens when you eat cold foods and liquids. The metal amalgam will contract, causing a pulling stress on your tooth that may also lead to sensitivity.
Metal Amalgam Can Cause Microfractures
As you regularly eat hot and cold foods, your fillings will expand and contract, putting pressure on the tooth around it. This pressure can result in tiny cracks in your teeth, what we describe as microfractures.These microfractures can allow hot or cold liquids to infiltrate your tooth, again leading to sensitivity.And, eventually, these microfractures can become harborages for bacteria, giving them shelter that allows them to consume sugar, secrete acid, and destroy your teeth.
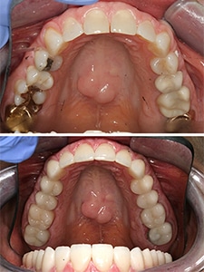
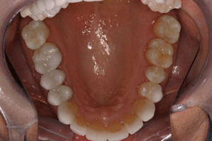
Before & After Metal Amalgam Filling Replacement




Replace Your Fillings for Comfortable, Attractive Teeth
If you are unhappy with tooth sensitivity or the visibly unattractive appearance of teeth restored with metal amalgam fillings, our full mouth rejuvenation can give you a smile with less sensitivity, and more attractive teeth. Please call (912) 234-8282 today for an appointment with a cosmetic dentist at Beyond Exceptional Dentistry in Savannah, GA.