
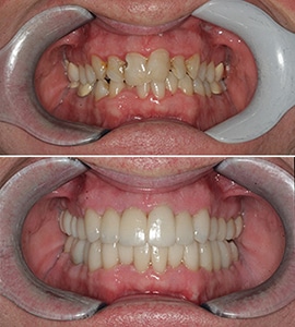
Actual dental implant patient of Beyond Exceptional Dentistry
Benefits of Dental Implants

No diet restrictions. Go ahead, eat that steak or corn on the cob.The benefits of dental implants include:
- No special care requirements.
- Look just like natural teeth.
- Don’t rely on neighboring teeth for support.
- Stimulate jawbone to prevent bone loss.
- With proper care, can be lifetime replacements.
Dental implants give you the ability to eat, speak, laugh, and enjoy life with confidence. You know your teeth won’t slip out, make noise, or look fake.
Instead, you’ll get a beautiful smile that requires no special care: just brush, floss, and make your regular dental appointments. Whether you’ve lost one tooth or all your teeth, dental implants can support a single crown, a multi-tooth bridge, or full dentures.
How Much Do Dental Implants Cost?
A dental implant is a highly customized procedure, and it’s hard to give a good idea about costs without first performing a comprehensive exam. The cost of your dental implant is going to be determined by:
The condition of your implant site or sites
The number of dental implants required
The implant functionality desired
The quality of restorations used
As well as many other factors.
The Dental Implant Procedure
The dental implant procedure takes place in several phases. First, you will have your implant or implants placed. Usually, you’ll receive temporary replacement teeth that day that let you smile with confidence and eat normally.Before your dental implant procedure, we will carefully evaluate your health to make sure you’re a good candidate for implants. Sometimes, you may need additional treatments to prepare you for your dental implants.
The healing of your implants is the most important step. Once they successfully integrate with the bone, they will most likely be there for life. To help your body heal properly, we concentrate some of your body’s natural healing factors which we will explain in depth during your consultation.
Next, your implants will be allowed to heal. This is when they integrate with the bone and become fully fixed like your natural teeth.
Once your implants are fully fused to the bone, we will place your permanent restorations.
It’s important to remember that maintenance is part of the dental implant process. Once you’ve got your implants, take proper care of them and they can last you a lifetime.
Benefits of CT Dental Scan for Dental Implant Surgery
Dental implant technologies can make a big difference in the comfort and speed of your dental implant procedure as well as the quality of your results. When choosing an implant dentist, make sure you ask what technologies your dentist employs.
CT Dental Scan is a powerful imaging technology that creates a 3D computer model of your bone structure. We can use this model to precisely plan your dental implant surgery before we begin. It’s almost like having the first part of your surgery performed on the computer.

- Shorter dental implant surgery
- More precise dental implant placement
- Lower risk of complications
- Generally no need for stitches
- Quicker healing
- Less discomfort
CT Dental Scan takes the place of exploratory dental surgery. It allows us to find the ideal placement for your dental implants without guesswork and without additional cutting. It allows us to get your dental surgery right the first time, so there’s no need for multiple procedures.
Mini-Dental Implants
Have you been denied dental implants in the past because you don’t have enough bone to support them? If so, then mini dental implants may be perfect for you. These small dental implants are a great alternative for people who have been told they have to wear dentures.
Mini-Implants are a GREAT solution for a loose lower or upper denture. They are only a fraction of the size of a traditional implant. This means that they can be used on people who never could have traditional implants.
Mini-Implants can be used to stabilize a lower or upper denture. Patients love how much better they can talk, chew, laugh… you name it.
It only takes one appointment to get your Mini-Implants. That’s right, after your consultation and exam it only takes one appointment. You are numbed using The Wand so that you don’t feel any pain. The implants are gently placed, without stitches. Then your existing denture is “retro-fitted” to attach to the new implants. When you leave the office, you will have a much better fitting denture!
If you have questions about dental implants, or you’d like to see if you’re a candidate for implants, call (912) 234-8282 or email our office today!


